

Follow
1
0
0
user44650519988
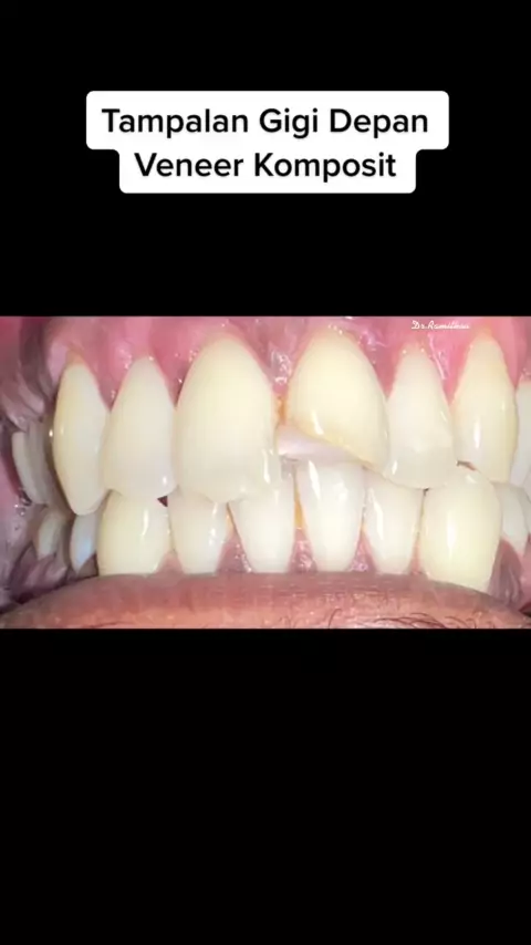
Gigi depan patah? Tampalan pecah? Tak puas dengan senyuman anda? Mugkin anda boleh mendapatkan rawatan veneer komposit. Sila berunding dgn dr gigi untuk pilihan rawatan yg terbaik utk anda.#veneergigi#komposit#dentalveneers#dentistsof#gigipatah#drgigibutterworth
More
Comment
Cancel
Send