Follow
0
0
0
fellin love
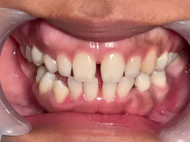
Solusi gigi renggang tanpa harus behel#veneer#veneersjourney#veneergigi#doktergigikediri#doktergigiyuniko
More
Comment
Cancel
Send